Invisalign in San Juan Capistrano, CA

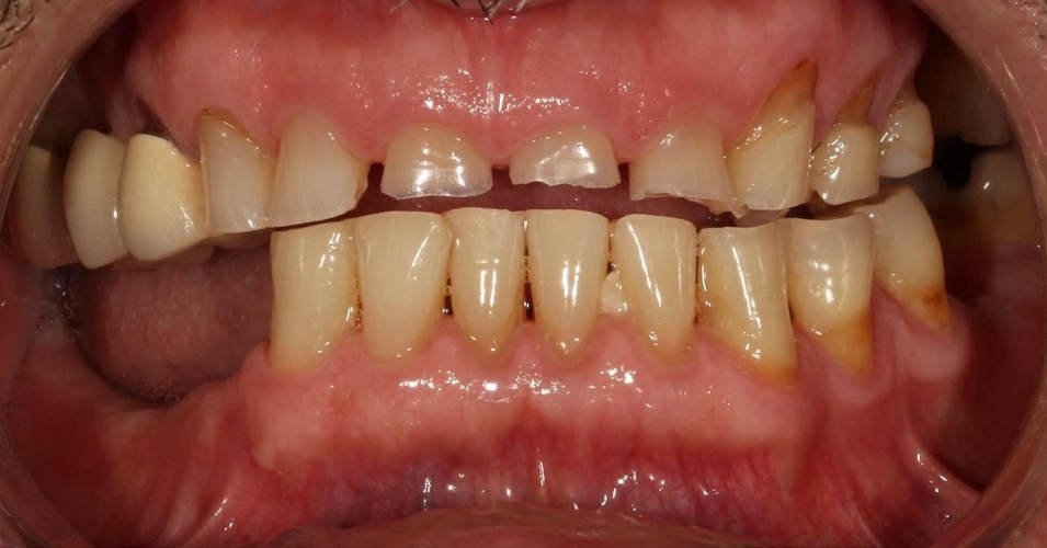
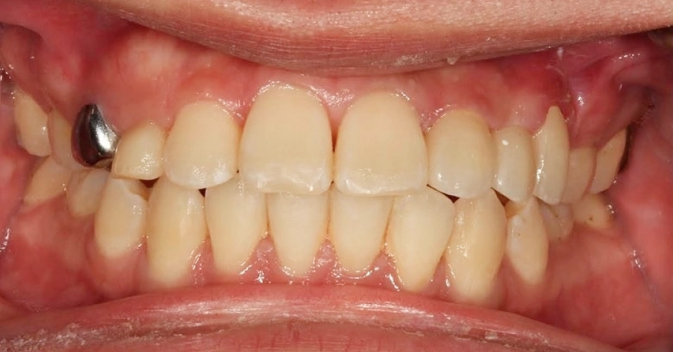
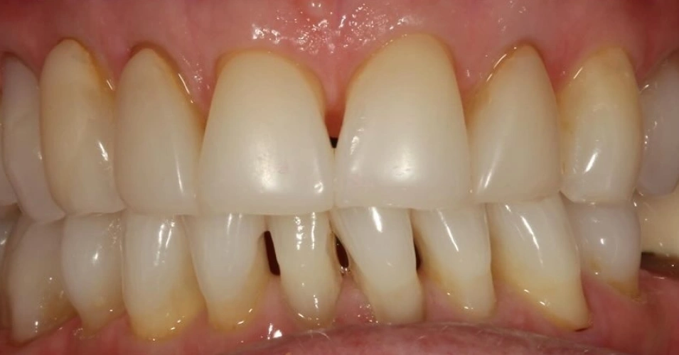
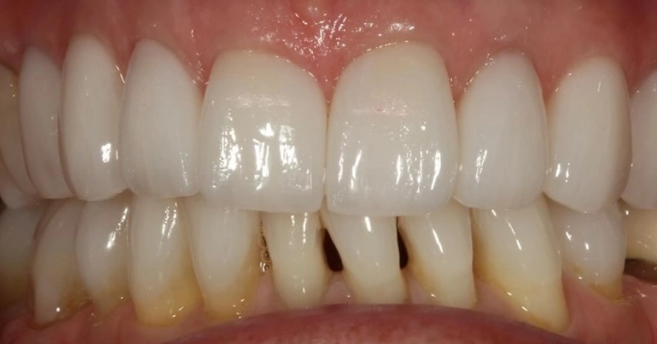
invisalign-image
The Invisalign banefits
schedule-invisalign