(949) 749-2868
Luxury Cosmetic Dentistry in San Juan Capistrano
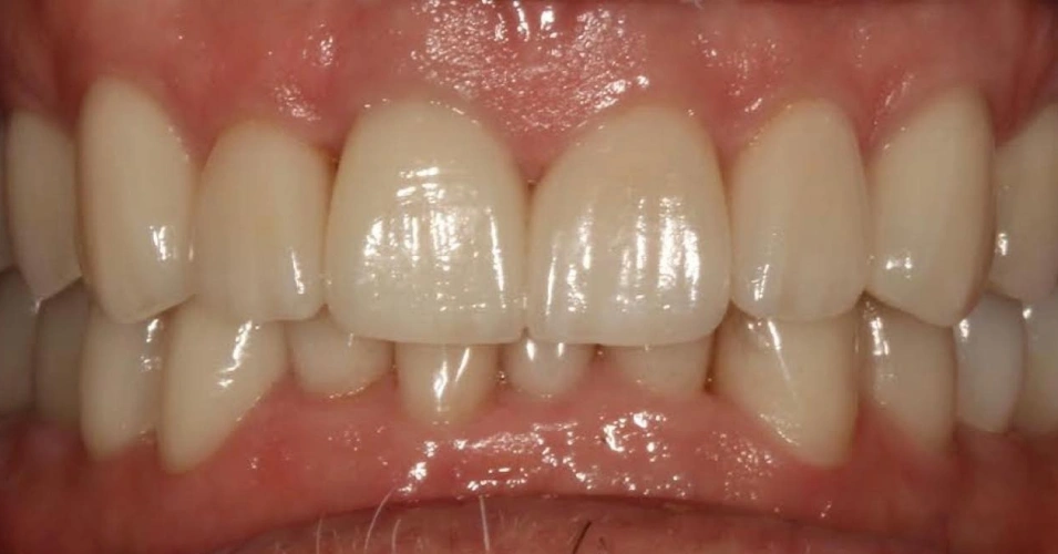
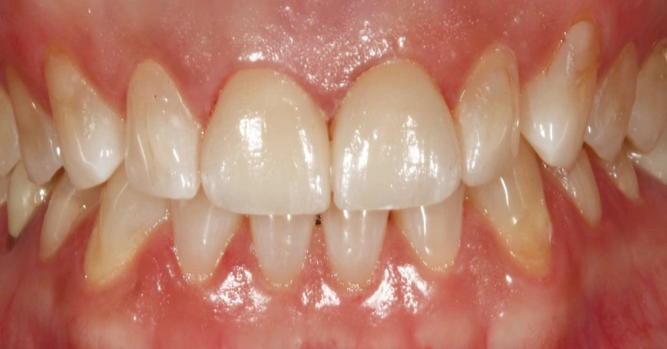
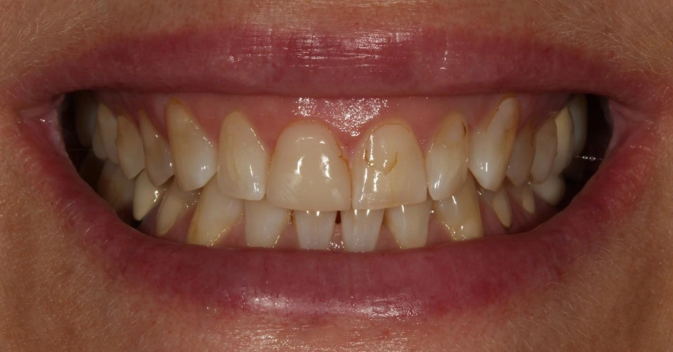
At Ortega Cottage Dentistry, we specialize in personalized cosmetic dentistry designed to enhance your natural beauty and elevate your confidence. Using minimally invasive techniques and advanced technology, we create balanced, natural-looking results in a comfortable and relaxing environment. Every smile is thoughtfully designed around your goals to ensure stunning, long-lasting outcomes.
As a trusted cosmetic dentist in San Juan Capistrano, CA, we are committed to continued education and staying at the forefront of modern dental innovations. We believe in guiding our patients through every step of their smile journey, providing the knowledge and support needed to make informed decisions about their care.
Discover the Excellence of Kois-Trained Dentists
When it comes to dental care, choosing the right provider is crucial for achieving optimal oral health and a beautiful smile. At Ortega Cottage Dentistry, we bring you the unparalleled expertise of Dr. Michael Kim, a Kois-trained dentist dedicated to elevating the standard of dental care in San Juan Capistrano.
Imagine a dental experience where every procedure is carried out with meticulous precision and a passion for excellence. This is the hallmark of Kois training—a blend of advanced education, evidence-based practices, and a patient-centered approach. With Dr. Kim’s Kois training, your dental care is guided by innovation, expertise, and an unwavering commitment to perfection.
Comprehensive Smile Solutions

Dr. Michael Kim
















